Магнитная буря 25 сентября 2022 года: Солнце возьмёт в тиски геополе Земли и столкнет метеопатов с мощным потоком возмущений красной зоны активности
Украина 5
Правила форума
В связи со всеми событиями, предупреждаю, чтобы следили за речью, не допускали оскорблений собеседников с противоположной точкой зрения, а так же не допускали оскорблений людей по национальному или расовому признаку. Буду банить. Политические ветки с сегодняшнего дня будут под моим жёстким контролем.
В связи со всеми событиями, предупреждаю, чтобы следили за речью, не допускали оскорблений собеседников с противоположной точкой зрения, а так же не допускали оскорблений людей по национальному или расовому признаку. Буду банить. Политические ветки с сегодняшнего дня будут под моим жёстким контролем.
-
Вело-рок
- Сообщения: 18450
- Зарегистрирован: 10 фев 2019, 20:49
- Откуда: Красноярск
- Пол: Мужской
Украина 5
В этой теме наблюдаем.
Я не люблю когда мне дуют в уши и вилка есть для снятия лапши. 
-
бардак с идеями
Украина 5
<kznm///alex_doctor писал(а): 25 сен 2022, 20:21 мобильные госпитали есть на передовой.
что ноешь.
нормально работают.
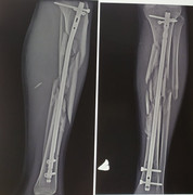
вот результат, я считаю весьма неплохой.
![]()
100% остеомиелит (гнойная хирургия), такое, только аппаратом Илизарова собирают.
P. S
Или фоторетушь, не верю, что так сейчас.
Последний раз редактировалось бардак с идеями 25 сен 2022, 20:49, всего редактировалось 1 раз.
-
wipe
- Сообщения: 45127
- Зарегистрирован: 12 фев 2019, 22:27
- Пол: Мужской
-
Дед ВВ
- Сообщения: 19038
- Зарегистрирован: 31 янв 2019, 20:48
- Откуда: Кырск
- Пол: Мужской
-
wipe
- Сообщения: 45127
- Зарегистрирован: 12 фев 2019, 22:27
- Пол: Мужской
Украина 5
Это пздц
Спойлер
-
wipe
- Сообщения: 45127
- Зарегистрирован: 12 фев 2019, 22:27
- Пол: Мужской
Украина 5
Прилет Герани без цензуры
Спойлер
-
бардак с идеями
-
lucky
- Сообщения: 26958
- Зарегистрирован: 03 апр 2019, 06:56
- Пол: Не выбран
Украина 5
нет.бардак с идеями писал(а): 25 сен 2022, 20:44 100% остеомиелит (гнойная хирургия), такое, только аппаратом Илизарова собирают.
современные препараты творят чудеса.
сначала жгут и в госпиталь.
в госпитале аппарат внешней фиксации и восстановление сосудов.
далее мск, интрамедуллярный остеосинтез.
снимок сделали на той неделе, в целом всё спокойно.
жиεнq хоdоmɐ' ʞɐʞ нǝ ʞdʎɯи¡
-
wipe
- Сообщения: 45127
- Зарегистрирован: 12 фев 2019, 22:27
- Пол: Мужской
Украина 5
В Польше шатания. Намедни антиукраинские митинги были. Идёт пропаганда.
-
бардак с идеями
Украина 5
Спасибо, плавали, 30 лет назад, в ЦИТО, так собрали, а потом, в гнилухе Илизарова переделывали.alex_doctor писал(а): 25 сен 2022, 21:03нет.бардак с идеями писал(а): 25 сен 2022, 20:44 100% остеомиелит (гнойная хирургия), такое, только аппаратом Илизарова собирают.
современные препараты творят чудеса.
сначала жгут и в госпиталь.
в госпитале аппарат внешней фиксации и восстановление сосудов.
далее мск, интрамедуллярный остеосинтез.
снимок сделали на той неделе, в целом всё спокойно.
-
Вело-рок
- Сообщения: 18450
- Зарегистрирован: 10 фев 2019, 20:49
- Откуда: Красноярск
- Пол: Мужской
-
lucky
- Сообщения: 26958
- Зарегистрирован: 03 апр 2019, 06:56
- Пол: Не выбран
Украина 5
сейчас фармацевтика просто космос.
сейчас антибиотики и прочее - огонь.
сейчас антибиотики и прочее - огонь.
жиεнq хоdоmɐ' ʞɐʞ нǝ ʞdʎɯи¡
-
wipe
- Сообщения: 45127
- Зарегистрирован: 12 фев 2019, 22:27
- Пол: Мужской
-
lucky
- Сообщения: 26958
- Зарегистрирован: 03 апр 2019, 06:56
- Пол: Не выбран
Украина 5
Надо делать так, чтоб беженцев с украины было больше.
И чтоб они все шагали в евросоюз.
И чтоб они все шагали в евросоюз.
жиεнq хоdоmɐ' ʞɐʞ нǝ ʞdʎɯи¡
-
Вело-рок
- Сообщения: 18450
- Зарегистрирован: 10 фев 2019, 20:49
- Откуда: Красноярск
- Пол: Мужской
Украина 5
Без проблем ни где быть не может, но есть выражение "против кого дружите?". Так вот они сейчас дружат против нас, а когда ни будь вполне вероятно воевать между собой будут.
Я не люблю когда мне дуют в уши и вилка есть для снятия лапши. 
-
Cyclop
Украина 5
Сербия, «исходя из международного права», не примет результаты референдумов в ДНР, ЛНР, Херсонщине и Запорожье. Об этом заявил в воскресенье по возвращении с ГА ООН глава МИД Сербии Никола Селакович.
-
lucky
- Сообщения: 26958
- Зарегистрирован: 03 апр 2019, 06:56
- Пол: Не выбран
-
Cyclop
Украина 5
alex_doctor писал(а): 25 сен 2022, 21:39 Надо делать так, чтоб беженцев с украины было больше.
И чтоб они все шагали в евросоюз.![]()
щас ещё патриотичные соотечественники туда же ломанутся через Грузии и Казахстаныalex_doctor писал(а): 25 сен 2022, 21:39 Надо делать так, чтоб беженцев с украины было больше.
И чтоб они все шагали в евросоюз.![]()
-
wipe
- Сообщения: 45127
- Зарегистрирован: 12 фев 2019, 22:27
- Пол: Мужской
Украина 5
Теперь наводчик.
А, теперь не наводчик.
Бывает...
А, теперь не наводчик.
Бывает...
Последний раз редактировалось wipe 25 сен 2022, 21:47, всего редактировалось 1 раз.
-
бардак с идеями
Украина 5
Цифран ХХХ ?alex_doctor писал(а): 25 сен 2022, 21:14 сейчас фармацевтика просто космос.
сейчас антибиотики и прочее - огонь.
