Брекеты. Где и какие посоветуете?
Модератор: news
-
санепа
Брекеты. Где и какие посоветуете?
Нужен совет, где и какие брекеты заказать. Доча вознамерилась подровнять зубы. Погуглил Красноярск, материал разный, цена отличается в три раза. Может, кто делал, посоветует клинику с репутацией
-
Mauler
- Сообщения: 34917
- Зарегистрирован: 25 май 2019, 17:56
- Пол: Не выбран
Брекеты. Где и какие посоветуете?
санепа, будь ты в Новосибирске, посоветовал бы "Дентал-сервис", но вдруг там у вас филиалы есть нашей "Академии" и "Дентал-сервиса".
Но курс ортодонтии там обошелся в 160 килорублей (40 рублей сразу, далее взносы по 7500 в месяц).
Но курс ортодонтии там обошелся в 160 килорублей (40 рублей сразу, далее взносы по 7500 в месяц).
Настоящий интернационалист моральных уродов всех рас и оттенков кожи ненавидит совершенно одинаково.
Письмена дур и дураков не вижу и не комментирую. С ЛГБТ - также. Даже минусов не ставлю.
Куратор
Письмена дур и дураков не вижу и не комментирую. С ЛГБТ - также. Даже минусов не ставлю.
Куратор
-
санепа
Брекеты. Где и какие посоветуете?
На прошлой работе у коллеги зубы росли в шахматном порядке, так она бесповоротно решив выйти замуж, около года их пилила-стягивала, и даже вырывала лишние. В довершение, вставила в передний зуб камушек драгоценный. И вышла-таки замуж!
-
Kudryashka
- Сообщения: 1546
- Зарегистрирован: 25 апр 2019, 18:19
- Пол: Женский
Брекеты. Где и какие посоветуете?
https://dsclinic.net/ специалист Дарья, фамилию не помню.
У сына были кривые зубы, обошлись правда без брекетов.
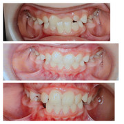
Результат. Первые две фотографии разница 4 месяца, третье 1.5 года. В капе спит постоянно. Но у нас с прикус нормальный.

У сына были кривые зубы, обошлись правда без брекетов.
Результат. Первые две фотографии разница 4 месяца, третье 1.5 года. В капе спит постоянно. Но у нас с прикус нормальный.

Последний раз редактировалось Kudryashka 22 фев 2023, 14:05, всего редактировалось 1 раз.
-
Димоныч
- Сообщения: 312
- Зарегистрирован: 17 янв 2019, 08:34
- Пол: Мужской
Брекеты. Где и какие посоветуете?
делали дочке капу, треснула через 2 недKudryashka писал(а): 22 фев 2023, 14:01 https://dsclinic.net/ специалист Дарья, фамилию не помню.
У сына были кривые зубы, обошлись правда без брекетов.
Результат. Первые две фотографии разница 4 месяца, третье 1.5 года. В капе спит постоянно.
![]()
-
Kudryashka
- Сообщения: 1546
- Зарегистрирован: 25 апр 2019, 18:19
- Пол: Женский
Брекеты. Где и какие посоветуете?
Димоныч, почти два года нашей капе, сказали можно пока не менять.
-
User
- Сообщения: 4514
- Зарегистрирован: 28 мар 2019, 07:12
- Пол: Мужской
Брекеты. Где и какие посоветуете?
Дочке ставили брекеты в Доктор Люкс на Карбышева 2,5 года назад. Что-то из недорогого. Обошлось в 130000,платили в рассрочку. Эффект отличный
-
санепа
-
dimawar
- Сообщения: 1751
- Зарегистрирован: 03 апр 2019, 18:09
- Пол: Мужской
Брекеты. Где и какие посоветуете?
санепа, по брекетам не все так просто, как оказалось. Чтобы правильно все сделать, надо еще смотреть мышцы, окклюзию. А это у нас вообще почти никто не делает. Это задача стоматолога-гнатолога.
В стоматологии Мегадент на мате залки этим занимается главный врач Александр Сергеевич. Лично его знаю, могу к нему порекомендовать обратиться. Потому что он показывал мне свои работы - впечатляет. Особенно когда людям надо было переделывать брекеты... В общем его 100% могу рекомендовать.
В стоматологии Мегадент на мате залки этим занимается главный врач Александр Сергеевич. Лично его знаю, могу к нему порекомендовать обратиться. Потому что он показывал мне свои работы - впечатляет. Особенно когда людям надо было переделывать брекеты... В общем его 100% могу рекомендовать.
Мой блог строительства CityLifeOut.ru
Мой ютуб канал "Жизнь за городом"
Мой ютуб канал "Жизнь за городом"
-
санепа
Брекеты. Где и какие посоветуете?
dimawar, Мне озвучивали "под ключ" от 90 до 200тыр с ежемесячным ТО по 2тыр. Если главный врач, скорее всего, "по верхней границе нормали". Но, главное, чтобы качественно.
-
KristyN
- Сообщения: 3160
- Зарегистрирован: 11 авг 2019, 23:06
- Пол: Женский
Брекеты. Где и какие посоветуете?
Не всегда нужны брекеты. Кому-то нужна система хаас. Но не все ортодонты это говорят. Или не знают, или не работают. Им проще всем брекеты поставить.
-
санепа
Брекеты. Где и какие посоветуете?
Эт чего?
-
KristyN
- Сообщения: 3160
- Зарегистрирован: 11 авг 2019, 23:06
- Пол: Женский
Брекеты. Где и какие посоветуете?
Брекеты выравнивают зубы.
Хаас системы расширяют верхнюю челюсть. Но там возраст, насколько поняла, важен.
А есть первопричины, почему зубы кривые.
Есть момент, что верхняя челюсть узкая, из-за этого она не даёт развиваться нижней. Итог - зубы забором. В этом случае нужно расширять верхнюю челюсть. Система хаас для этого.
Спойлер
-
Doкtor
- Сообщения: 5020
- Зарегистрирован: 01 фев 2019, 22:10
- Пол: Мужской
Брекеты. Где и какие посоветуете?
Когда-то давно, в начале 2000-х в Денте работала очень неплохой ортодонт Цимбалюк Ирина Владимировна. Впоследствии она открыла свою клинику "Одус" на Крупской 34г. Давно с ней не общался, её работ не видел, но не думаю, что она растеряла свой талант.
Ещё в Денте же работала Ольга Давыдовна Алексеева - тоже очень хорошим (ИМХО) ортодонтом была. Тоже открыла свою клинику "Жемчуг" на 9-Мая. Не знаю - ведет ли она сейчас свой прием, но я сам всегда обращаюсь к её докторам (но не по ортодонтии).
П.С. Как доктор (уже в прошлом) блоги всяческих блогеров к просмотру не рекомендую.
Последний раз редактировалось Doкtor 03 мар 2023, 20:41, всего редактировалось 1 раз.
-
oks
- Сообщения: 5048
- Зарегистрирован: 16 янв 2019, 21:12
- Пол: Не выбран
Брекеты. Где и какие посоветуете?
мне брекеты ставила Павлючек Наталья Акимовна, теперь вот и дочь у неё. перед тем, как пойти к Павлючек, заскочила по рекомендации на матросова в клинику детскую, врач велела удалить 4(!) здоровых зуба, из них 2 клыка. Наталья Акимовна исправила все без удалений
-
Doкtor
- Сообщения: 5020
- Зарегистрирован: 01 фев 2019, 22:10
- Пол: Мужской
Брекеты. Где и какие посоветуете?
Наверное, не смотрят всяческих блохеров - вот и не знают. И чему их там в академиях учат?.
-
санепа
Брекеты. Где и какие посоветуете?
Вроде учат одному и в одних местах, а получаются из одних отличные специалисты, а из других, криворучки-коновалы!
-
benzin
- Сообщения: 4440
- Зарегистрирован: 28 мар 2019, 18:04
- Пол: Не выбран
Брекеты. Где и какие посоветуете?
У меня с Павлючек не все гладко вышло: непосредственно в ходе лечения все нормально было, долго, но в итоге добились хорошего результата. А вот при снятии несъемного ретейнера и после окончания ношения съёмной пластины она проигнорировала уже начавшиеся смещения, хоть и небольшие, но заметные, мельком глянула и все, давай до свидания. Пыталась тут же узнать у нее про другие варианты коррекции, типа кап или лингвальных, чтобы повторно не проходить те же круги ада с торчащими железками, она даже не обернувшись, спиной бросила, что это дорого, и все, разговор тут же закончился.
Довольно неприятное впечатление, видимо, пока несли деньги, тогда и хватало любезности. И я уж сама решу, по карману мне или нет.
Ах да, и не увидеть на снимках зачатков восьмерок (или умышленно умолчать) - это
Ещё поздравила, типа здорово, что геморных зубов не будет, и вот спустя 20 лет совершенно случайно на рентгене 7го увидели, что они все-таки выросли, но в глубине десны
Видимо, их рост и спровоцировал начавшиеся смещения, но увы.
Ах да, и не увидеть на снимках зачатков восьмерок (или умышленно умолчать) - это
Последний раз редактировалось benzin 03 мар 2023, 20:59, всего редактировалось 1 раз.